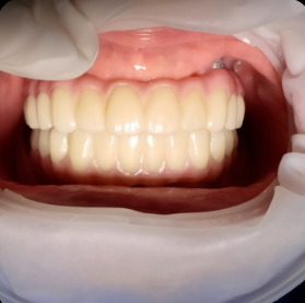
디지털 풀아치

image.png

 

 

 

디지털 풀아치

할까? 말까?

틀니가 잘 빠지고 불편해서 고민이세요?

예전으로 돌아가고 싶으신가요?

갈비도 뜯고.. 입가에 주름도 없고 팽팽하던 그때로...

혹시 당신 혹은 부모님의 이야기인가요?

많은 분들의 걱정,

디지털 풀아치가 해결해 드립니다

image.png

image.png

image.png

image.png

 

 

 

image.png

 

 

 

 

 

 

 

 

그렇다면

티타늄바가 필요한 경우는?

image.png

이갈이가 심한 경우
스플린트를 꼭 껴야하는 경우

image.png

뼈가 없어 허공에
뜬 부분이 매우 긴 경우

image.png

높이 22미리 이상으로
보철이 너무 큰 경우

ALL IMPLANT VS FULLARCH

전체임플란트 vs 풀아치
나에게 꼭 맞는 치료법은?

“저도 풀아치를 할 수 있을까요?” 무조건 풀아치를 권하지 않습니다.

환자분께 가장 좋은 치료가 저희에게도 가장 좋은 치료이기 때문입니다.

풀아치가 필요한 경우

틀니를 오래 사용하셨거나, 잇몸뼈가 전반적으로
많이 내려앉아 치아만 만들 경우
너무 깊이 보이는 분들에게 가장 이상적입니다.

전체 임플란트가 더 나은 경우

치아를 뺄 지 않아도 잇몸뼈가 충분히 남아있는 분들은
잇몸 뼈를 삭제할 필요 없이, 치아만 만드는
전체 임플란트가 더 적합할 수 있습니다.

한눈에 보는 치료법 비교

특징 디지털 풀아치 전체 임플란트 전통 틀니
씹는 힘 우수 (자연치 80%) 최우수 (90~100%) 미흡 (20~30%)
뼈 이식 거의 불필요 필요한 경우 많음 해당 없음
편안함 고정식, 이물감 없음 고정식, 내 치아 같음 탈착식, 이물감 있음
치료 기간 단기간 (약 2~3개월) 장기(6개월~1년) 비교적 빠름
장기 안정성 매우 높음 (10년 후 93% 이상) 매우 높음 재제작 필요 (5~7년 주기)
전체 비용 높음 매우 높음 낮음(중)
Quick
Menu